Задняя полиморфная дистрофия роговицы, тип 1
Задняя полиморфная дистрофия роговицы, тип 1 (англ. Posterior Polymorphous Corneal Dystrophy 1; PPCD1; Schlichting dystrophy) — редкая форма дистрофии роговой оболочки человека, для которой характерны нарушения структуры Десцеметовой мембраны и роговичного эндотелия. Основной симптом — снижение зрения вследствие отёка роговицы. Иногда симптомы присутствуют с рождения, однако отмечается и бессимптомное развитие. Гистопатологический анализ эндотелия демонстрирует эпителиальные характеристики, обычно не свойственные этому слою, причём эндотелий может даже состоять из нескольких слоёв клеток. Впервые заболевание было описано в 1916 году Кэппе (Koeppe) как «keratitis bullosa interna».[1] В одном исследовании отмечена ассоциация этой формы дистрофии, а также кератоконуса, с геном VSX1.[2]
| Задняя полиморфная дистрофия роговицы, тип 1 | |
|---|---|
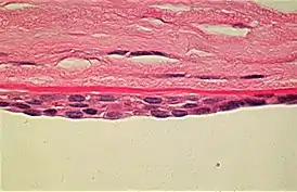
![]() Однослойный эндотелий преобразовался в стратифицированный плоский эпителий. Окрашивание PAS | |
| МКБ-10-КМ | H18.5 |
| OMIM | 122000 |
| MeSH | C562745 и C562745 |
Примечания
- Klinische Beobachtungen mit der Nernstspaltlampe und dem Hornhautmikroskop. Albrecht von Graefes Arch. Klin. Exp. Ophthal. 91: 363—379, 1916
- Héon E., Greenberg A., Kopp K.K., Rootman D., Vincent A.L., Billingsley G., Priston M., Dorval K.M., Chow R.L., McInnes R.R., Heathcote G., Westall C., Sutphin J.E., Semina E., Bremner R., Stone E.M. VSX1: a gene for posterior polymorphous dystrophy and keratoconus (англ.) // Hum. Mol. Genet. : journal. — 2002. — May (vol. 11, no. 9). — P. 1029—1036. — PMID 11978762.
