Декстрокардия
Декстрокардия (от лат. dexter — правый и др.-греч. καρδία — сердце) — аномалия развития (дистопия), при которой большая часть сердца расположена в грудной клетке вправо от средней линии тела симметрично нормальному положению[1][2][3]. Данное состояние сопровождается «зеркальным» расположением всех кровеносных сосудов, исходящих и входящих в сердце.
| Декстрокардия | |
|---|---|
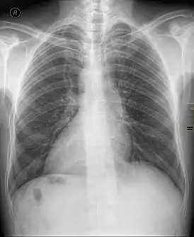
![]() Декстрокардия в рамках situs inversus на рентгенограмме органов грудной клетки. | |
| МКБ-11 | LA80.1 |
| МКБ-10 | Q24.0 |
| МКБ-10-КМ | Q24.0 |
| МКБ-9 | 746.87 |
| DiseasesDB | 3617 |
| MedlinePlus | 007326 |
| MeSH | D003914 |
Обычно сочетается с зеркальным расположением всех непарных внутренних органов — транспозиция органов. Впервые декстрокардию описал Марко Аурелио Северино в 1643 году.
От декстрокардии отличается декстропозиция сердца, при которой сердце человека механически перемещается в правую половину грудной клетки под влиянием каких-либо внесердечных факторов (правосторонний ателектаз, пневмофиброз, левосторонний плевральный выпот и т. д.)[2][4].
Классификация
Различают неизолированную декстрокардию — в случае полного обратного расположения внутренних органов — situs viscerum inversus totalis (транспозиция органов) и изолированную декстрокардию. Последняя отличается анатомически нормальным расположением непарных органов брюшной полости (желудка, печени, селезёнки). Среди изолированной декстрокардии выделяется форма с инверсией предсердий и желудочков и без инверсии полостей сердца (синонимы: декстроверсия, декстроторзия, декстроротация сердца, осевая декстрокардия)[2][4].
В случае зеркальной декстрокардии отклонения в состоянии здоровья человека обычно отсутствуют, могут встречаться врождённые пороки сердца, в отличие от декстроверсии (лишь немного чаще, чем при обычном расположении сердца). В случае отсутствия сопутствующих пороков сердца обе формы декстрокардии не сопровождаются существенными нарушениями общей гемодинамики (кровообращения)[2].
Характеристика
Формируется обычно в первые недели внутриутробного развития. Причины возникновения декстрокардии всё ещё неизвестны[2].
Изолированная форма встречается редко. По данным Корта и Шмидта (С. Korth, J. Schmidt, 1955) — в 12 случаях из 1000. По данным Bohun et al. (2007) частота декстрокардии составляет 1 случай на 12 тысяч[5].
При зеркальной форме полые вены располагаются слева и несут кровь в правое предсердие, также расположенное слева и несколько впереди от левого предсердия (обозначение отделов сердца терминами «правый» и «левый» при декстропозиции условно). Правый желудочек с исходящим из него легочным стволом находится при этом спереди[2].
Декстроверсия сердца встречается чаще чем другие формы. Взаимное расположение камер сердца и магистральных сосудов при этом нормальное, но в большинстве случаев декстроверсия сочетается с врождёнными пороками сердца (отсутствие либо дефекты перегородок, транспозиция аорты и легочного ствола, стеноз легочного ствола или атрезия его клапанного аппарата и т. п.) и весьма часто с сопутствующими пороками развития селезёнки. Верхушечный толчок при этом определяется справа у основания мечевидного отростка грудины (если верхушка сердца не прикрыта грудиной)[2].
Примечания
- М. К. Недзьведь и др. Перинатальная патология. Минск: Вышэйшая школа 2012—575 c.
- Большая медицинская энциклопедия / гл. ред. Б. В. Петровский. — 3-е изд. — М.: Советская энциклопедия, 1988. — 150 000 экз.
- Stephenson, Susan (2012). Diagnostic Medical Sonography Obstetrics and Gynecology. 351 West Camden Street Baltimore, MD 21201: Lippincott Williams & Wilkins. p. 582.
- M. E. Abbott & J. C. Meakins (1915). «On the differentiation of two forms of congenital dextrocardia». Bulletin of the International Association of Medical Museums (5): 134—138
- Bohun C.M., Potts J.E., Casey B.M., Sandor G.G. (July 2007). «A population-based study of cardiac malformations and outcomes associated with dextrocardia». Am. J. Cardiol. 100 (2): 305-9. doi:10.1016/j.amjcard.2007.02.095. PMID 17631088
