Гепатоспленомегалия
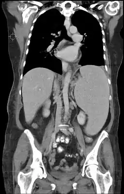
Гепатоспленомегалия (лат. Hepatosplenomegaly) — синдром, характеризующийся одновременным увеличением селезёнки и печени[1]. Диагностируется методами пальпации и перкуссии, а также при ультразвуковом или КТ-исследовании. Визуально при данном синдроме в области правого подреберья может наблюдаться выбухание, смещающееся при вдохе, обусловленное увеличенной печенью.
| Hepatosplenomegaly | |
|---|---|
| |
| МКБ-11 | ME10.02 |
| МКБ-10 | R16.2 |
| МКБ-9 | 571.8 |
| MedlinePlus | 003275 |
Основная особенность гепатоспленомегалии — это признаки начинающегося гиперспленизма: тромбоцитопения, эритроцитопения, лейкопения, обнаруживающиеся в клиническом анализе крови[2].
Причины
Инфекционные заболевания
Гематологические болезни
- Миелопролиферативные опухоли
- Лейкемия
- Серповидноклеточная анемия
- Талассемия
- Миелофиброз
- Лимфома
- Злокачественная анемия
Нарушение обмена веществ
- Болезнь Ниманна — Пика
- Синдром Харлера
- Болезнь Гоше
- Акромегалия
- Хронические заболевания печени и портальной гипертензии
- Саркоидоз
- Амилоидоз
Аутоиммунные заболевания
См. также
- Гепатомегалия — патологическое увеличение размеров печени.
Примечания
- Гепатоспленомегалия — что это такое?
- Гепатоспленомегалия причины и лечение " Luxmama. ru (недоступная ссылка). Дата обращения: 15 апреля 2014. Архивировано 16 апреля 2014 года.
This article is issued from Wikipedia. The text is licensed under Creative Commons - Attribution - Sharealike. Additional terms may apply for the media files.
