Гематоксилин
Гематоксилин — органическое соединение, природный краситель, получаемый из эфирного экстракта кампешевого дерева (Haematoxylon campechianum). Применяется в виде различных растворов для окрашивания гистологических препаратов. При окраске гематоксилином клеточные ядра приобретают тёмно-синий цвет.
| Гематоксилин | |
|---|---|
| |
| |
| Общие | |
| Систематическое наименование |
цис-(+)-7,11b-дигидробенз[b]индено[1,2-d]пиран-3,4,6a,9,10(6H)-пентол |
| Хим. формула | C16H14О6 |
| Физические свойства | |
| Состояние | твёрдое |
| Молярная масса | 302.279 г/моль |
| Термические свойства | |
| Температура | |
| • плавления | 140 °C |
| Классификация | |
| Рег. номер CAS | 517-28-2 |
| PubChem | 442514 |
| Рег. номер EINECS | 208-237-3 |
| SMILES | |
| InChI | |
| ChEBI | 5601 |
| ChemSpider | 390940 |
| Приведены данные для стандартных условий (25 °C, 100 кПа), если не указано иное. | |
История
Используется в микроскопии с 1865 года[1].
Свойства
![]() Гематеин |
Бесцветные кристаллы, желтеющие под действием света и воздуха. Имеет сладкий вкус. Обычно имеет форму тригидрата и обезвоживается при 120 °C. Температура плавления 140 °C. Растворим в горячей воде, присутствие тетрабората натрия улучшает растворимость в водных растворах. Также растворим в спирте, глицерине, плохо растворим в холодной воде и эфире[1].
В щелочных растворах окрашивается в пурпурный цвет, который через небольшой промежуток времени синеет, затем коричневеет. Не взаимодействует с разбавленными кислотами, но обладает свойствами кислотно-основного индикатора[1].
Сам гематоксилин не способен окрашивать биологические препараты, эту способность его растворы приобретают только лишь после окисления гематоксилина в гематеин. Процесс окисления заключается в потере двух атомов водорода, занимает по времени несколько недель и называется «созреванием». Для ускорения процесса окисления в красящие растворы вводят сильные окислители, в роли которых могут выступать перекись водорода, перманганат калия и другие соединения[1].
Применение
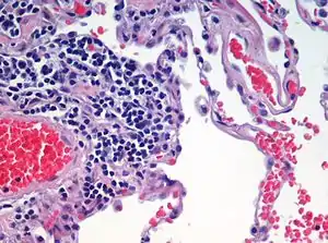
![]() Гистологический образец лёгочной ткани человека, окрашенный гематоксилином и эозином. Гематоксилин придаёт тёмно-синий цвет ядрам клеток. |
Используется в микроскопии в различных окрашивающих растворах. Составы растворов разнообразны, наибольшее применение имеют следующие группы[1]:
- Вольфрамовые гематоксилины;
- Железные гематоксилины;
- Квасцовые гематоксилины;
- Литиевый гематоксилин;
- Молибденовые гематоксилины;
- Хромовый гематоксилин.
Также применяется как аналитический реактив в химии для фотометрического определения алюминия и других ионов[1].
См. также
Примечания
- Фрайштат, 1980, с. 95—96.
Литература
- Фрайштат Д. М. Реактивы и препараты для микроскопии. — М.: Химия, 1980. — 480 с.



