Болезнь Форбса
Болезнь Форбса (гликогеноз III типа) — гликогеноз, вызванный недостаточностью фермента амило-1,6-глюкозидазы.
| Болезнь Форбса | |
|---|---|
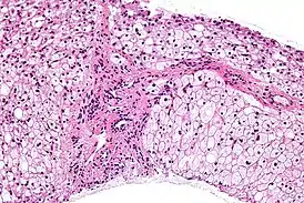
![]() Микрофотография: накопление гликогена в клетках печени (окраска гематоксилином и эозином). | |
| МКБ-10 | E74.0 |
| МКБ-10-КМ | E74.03 |
| МКБ-9 | 271.0 |
| OMIM | 232400 |
| DiseasesDB | 5302 |
| eMedicine | med/909 ped/479 |
| MeSH | D006010 |
Этот фермент катализирует расщепление связей [ …C — O - C… ] в молекуле гликогена в точках ветвления.
Болезнь сопровождается отложением атипичного гликогена в печени, сердце, мышцах.
Примечания
This article is issued from Wikipedia. The text is licensed under Creative Commons - Attribution - Sharealike. Additional terms may apply for the media files.
