Болезнь Боуэна
Болезнь Боуэна (дерматоз Боуэна) — редкое кожное заболевание. Впервые было описано американским дерматологом Дж. Т. Боуэном, в 1912 г., а в 1914 г. было названо в его честь.
| Болезнь Боуэна | |
|---|---|
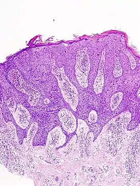
![]() Болезнь Боуэна под микроскопом | |
| МКБ-11 | 2E64.00 |
| МКБ-10 | D04 (ILDS D04.L10) |
| МКБ-9 | 230-234 |
| МКБ-О | 8081/2 |
| DiseasesDB | 1569 |
| eMedicine | derm/59 |
| MeSH | D001913 |
Этиология, патогенез, клиническая картина
Заболевание встречается у людей старшего возраста, преимущественно женщин. Возникает, как правило, на туловище, верхних конечностях и в промежности. Возникновение болезни Боуэна связывается с травмами кожи, действием ультрафиолетового излучения, а также контактом с веществами, содержащими мышьяк (например, лекарствами или веществами химической промышленности.
При заболевании на коже возникают солитарные либо в трети случаев множественные очаги: вначале это небольшое красное пятно или бляшка неправильной либо округлой формы с шелушением. Такие бляшки образуются при слиянии красноватых папул и узлов. Белые или жёлтые чешуйки на бляшке легко удаляются, под ними обнаруживается красная мокнущая поверхность. Бляшка чётко отграничена от окружающих тканей, постепенно растёт и со временем возвышается над уровнем кожи. Бляшка имеет пёстрый вид вследствие появления зон атрофии, гиперкератоза, разрастаний. В ряде случаев при болезни Боуэна возникают несколько постепенно сливающихся очагов. Постепенно процесс распространяется на весь слой эпидермиса. Со временем разрастающиеся очаги трансформируются в плоскоклеточный рак, что позволяет говорить о болезни Боуэна как о предраке.
При диагностике болезнь Боуэна следует отличать от псориаза, актинического кератоза и базалиомы.
Лечение
Лечение болезни Боуэна — хирургическое с иссечением в пределах здоровых тканей с обязательным гистологическим исследованием. Применяется также криодеструкция и лучевая терапия.
Литература
- Карапетян И. С., Губайдуллина Е. Я., Цегельник Л. Н. Опухоли и опухолеподобные поражения органов полости рта, челюстей, лица и шеи. — М.: Медицинское информационное агентство, 2004. — 232 с. — 3000 экз. — ISBN 5-89481-207-0.
.jpg.webp)